Signed in as:
filler@godaddy.com
Signed in as:
filler@godaddy.com

Zobacz moją historię do sierpnia 2024 r. i dramatyczną, wycieńczającą walkę po odkryciu tej rzadkiej choroby.
#444
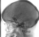
Obecna ocena medyczna:
Tylko operacja w USA daje mi szanse na dalsze życie !!!
#444
Wpłata celowa
Wpłać na fundacje Post Foundation (nr KRS 0001120560,Zjednoczenia 118 A, 65-120 Zielona Góra)
Nr konta Santander Bank 04 1090 1535 0000 0001 6536 2744
tytuł przelewu Angela2026

Angela Post
DaysDays
HrsHours
MinsMinutes
SecsSeconds
The big day may have come and gone, but keep in touch as we’re always up to something new and exciting.

Zostałam ambasadorką mózgu, aby pomagać setkom tysięcy Polaków, przejść moją drogę szybciej. Sama przecieram dla kolejnych osób tą trudną drogę. Dołączycie do akcji społecznej ambasady mózgu.
Twoje wsparcie i datki pozwolą osiągnąć nasz cel ratowania jej życia. Twoja hojna darowizna sfinansuje jej pokonania śmierci.
#444

Niech Angela żyje
Copyright © 2026 Niech Żyje Angela - All Rights Reserved.
Powered by Aumedium LLC

PIT 1,5%
Fundacja Avalon - Bezpośrednia Pomoc Niepełnosprawnym, Michała Kajki 80/82 lok. 1, 04-620 Warszawa
KRS: 0000270809
W rubryce INFORMACJE UZUPEŁNIAJĄCE / CEL SZCZEGÓŁOWY: (bardzo ważne!) należy wpisać: Post, 20733