Signed in as:
filler@godaddy.com
Signed in as:
filler@godaddy.com

Zobacz moją historię do sierpnia 2024 r. i dramatyczną, wycieńczającą walkę po odkryciu tej rzadkiej choroby.
#444
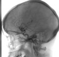
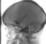
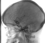
Obecna ocena medyczna:
Tylko operacja w USA daje mi szanse na dalsze życie !!!
#444

Angela Post
DaysDays
HrsHours
MinsMinutes
SecsSeconds
The big day may have come and gone, but keep in touch as we’re always up to something new and exciting.

Zostałam ambasadorką mózgu, aby pomagać setkom tysięcy Polaków, przejść moją drogę szybciej. Sama przecieram dla kolejnych osób tą trudną drogę. Dołączycie do akcji społecznej ambasady mózgu.
Twoje wsparcie i datki pozwolą osiągnąć nasz cel ratowania jej życia. Twoja hojna darowizna sfinansuje jej pokonania śmierci.
#444

Niech Angela żyje
